مجمع طبي متكامل لرعاية صحتك وجمالك
مجمع جمانة المطور الطبي لطب الأسنان هو مجمع متخصص في خدمات طب الأسنان بخبرة اكثر من 15 سنة ويقع في الطائف - الحوية يقدم خدمات متنوعة مثل زراعة الأسنان، تركيبات الأسنان، علاج عصب، تبييض الأسنان، والحشوات التجميلية، مع توفر أشعة البانوراما والسيفالو
الكشف والاستشاره وفتح الملف مجانا
تجميل الأسنان
تركيبات الأسنان
تقويم الأسنان
جهاز محدد الذروة
جهاز روتاري
اشعة بانوراما
قبل
بعد
الحالة كاملة
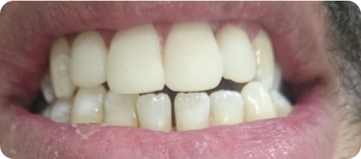
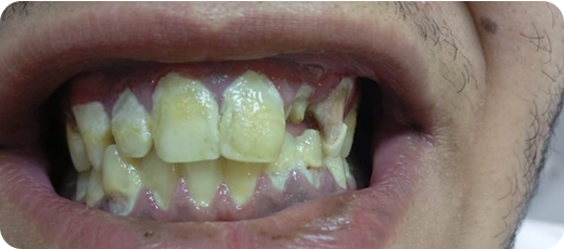
حاله تلبيسات
قبل
بعد
الحالة كاملة
حالة وجوه كومبوزيت تجميلية
قبل
بعد
الحالة كاملة
حاله تلبيسات
قبل
بعد
الحالة كاملة
حاله تلبيسات
قبل
بعد
الحالة كاملة
حاله تلبيسات
أكفأ الأطباء
كافة التخصصات
خدمة العملاء
أحدث التقنيات
تجربتي كانت مع الدكتوره مروى للامانه اول مره ازور المجمع وسالت عن طبيبه وكانت هي الي موجوده وقتها ودخلت عليها صراحة كانت ممتازه سويت عندها سحب عصب على ثلاث جلسات ب ٧٠٠ للسن يدها كانت خفيفه ماشاء الله وشغلها نظيف الله يكتب اجره
يوجد لديهم الدكتور البراء ،، صراحة ممتاز جدا جدا في موضوع نزع العصب وعلاجه وكذلك تنظيف الأسنان من الجير ومتابعتها وفحصها بدقه ،، الدكتور تعامله راقي جدا ويده خفيفه في العمل يشكر على أدائه صراحه ، ،،
ماشاءالله شغل الدكتور البراء ممتاز
كان عندي الم بسن وكنت مسويله حشوه
والحشوه محطوطة غلط …
السلام عليكم شهادة حق وبدون مجاملة ابغى انكلم عن الدكتور براء من أفضل الدكاترة اللي مريت عليهم في مجال طب الأسنان يده خفيفة ماشاء اللّٰه وأنصح اللي عنده مشاكل في الأسنان يروح عنده وهو مغمض .
mazen